Stop Snoring
bREATHE bACK YOUR LIFE
START THRIVING
SLEEP WELL, SLEEP RIGHT
NightLase®- Snoring & Sleep Apnea Therapy
NightLase® therapy is a breakthrough anti snoring laser tissue tightening treatment performed in the dental chair. It is a non-invasive, patient-friendly walk in - Walk out treatment for increasing the quality of a patient’s sleep.
Call 301-738-1074
Top notch Laser with awesome Snoring & Sleep Apnea Reduction capabilities.
NightLase® reduces sleep apnea effects and decreases the amplitude of snoring by means of a gentle, laser-induced tissue tightening effect caused by the collagen shrinking + new firmer collagen formation in the oral mucosa tissue.
Global Usage
Nightlase has been used in Europe, South America and Canada since 2010 and has been fully approved by FDA for use in United States
Laser Light Therapy
With NO Radiation or Surgery, High Tech Light frequency is used to create tissue tightening effect in throat, tongue & surrounding tissues to stop the snoring.
Patented & 60 Years.....
Currently NO OTHER laser in the world can do Nightlase therapy. It is patented by Fotona who is the leading laser manufacturer in the world with over 60 years of experience.
NeoCollagenesis
Light energy from advanced laser system warms the tissue and promotes the production of new, firmer collagen – a process known as neocollagenesis.
Obstructive Sleep Apnea from Integrative Ayurvedic perspective is a Space Encroachment issue.
The normal AIRWAY SPACE via the nose and mouth is BLOCKED.
This Blockage of Air Is Then Heard As Noisy, Interferred Breathing called Snoring.
BENEFITS OF NIGHTLASE®
Hi-Tech Snoring & APNEA Solutions with Fotona® Laser
Why Snoring Occurs?
After 25-30 yrs, our collagen starts to loosen 25% faster than before. As we age, when we sleep, the muscles/tissues at the back of our throat relax, partially blocking our air passageway. This causes throat level blockage.
NightLase® with Long lasting Results
The NightLase procedure involves shining a laser light on the soft palate, uvula, base of the tongue and back of the throat. This causes the collagen in the tissues to shrink and produce new firmer collagen. A protocol of 3 to 5 sessions of 30 minutes each, 21 days apart is followed.
What causes "Throaty" Snoring?
Air when passing around the loose obstructing tissue, causes vibrations. Which produces the sound that we call snoring at throat level. Other causes of snoring are obstruction in any part of the air pathway starting from nose to the lungs.
Snoring Relief 3X Faster with NightLase®
After full treatment of 3, 4 or 5 sessions, most patients find 80-90% snoring relief, that lasts for 12-18 months. Even after than only touch-up treatment "May" be needed. In order to avoid accelerated relapse, patient must follow life style changes that are condusive to maintaining minimal to No snoring life.
NightLase® to the Rescue
NightLase® is a non-invasive way to successfully treat snoring and help reduce the symptoms of obstructive sleep apnoea. It is safe and effective and has been clinically proven to work – research shows it reduces snoring for about 80 percent of treated patients.
Better way solve your problem
NightLase® Therapy results in a tightening of the muscles in the mouth and throat, which opens up the airway. The procedure requires no anaesthetic, is virtually pain-less, does not require scary needles and has no side-effects. And you don’t take any clunky equipment home with you!
Our Office Airway-Mouth Connection Assessment Protocol
When a patient is evaluated in our office
Rather than only fixing the symptoms, We look for sources that cause space encroachment within the entire oro-facial-body components.
Sources of Airway Space Encroachment
We work with your Medical Professional to create a unified, Well Communicated, Health Plan.
While your Medical Doctor and Alternative Health Practitioner takes care of your overall health, we focus to synchronize the Balance of your Mouth with the Whole Body!
Disclaimer: At Vedic Dental or Vedic Align,We Do NOT Claim to CURE your Sleep Apnea. As a Dental Office we Help with Education, Diagnosis and Treatment of Oro-Dental Aspects which may be influencing or aggravating your Sleep, Airway & Breathing Issues. All Medical Conditions are to be addressed by your health physician or specialist.
Light Induced Laser Guided — Snoring & Obstructive Apnea Relief
Easy Snoring Solution That Works
SAFE - SIMPLE - EFFECTIVE
Fotona’s patented Er:YAG laser frequency
* optimizes the length of laser pulses
* allows for safe penetration of heat into the oral mucosa tissue.
* Gentle on sensitive tissues but powerful enough for clinically effective heating.
No Side Effects
You return to your normal routine straight after treatment. No anaesthesia required. Postoperative, a dry throat for a couple of days is the worst you’ll feel.
No Pain
No cutting, no bleeding, nothing scary. You’ll feel no pain during or after. Not to be confused with other types of laser procedures that involve cutting the soft palate
High Success Rate
Three to Five 20-30 minute treatments over a six week period. High success rate – 80% of patients. You may even feel benefits as early as from the first treatment
Value for Money
Health Savings (HSA) or FSA can be used for this. Exciting treatment delivers remarkable results, extreme convenience, improved sleep and a happier bed partner.
Non - Intrusive
No needles, incisions or anaesthetic. You don’t need to wear any uncomfortable or bulky appliances.
Long Lasting Results
For most Patients No touch ups are needed for atleast 12-18 months. In some cases more than 7 years. It all depends on how loose your tissues are and what steps you are taking to reverse your accelerated aging.
Patients find NightLase to be a highly comfortable & satisfying solution.
NightLase requires no device to be worn during sleep & involves no chemical treatment.
It’s a gentle and easy way for your patients to regain a good night's rest
Durmukham Dukham Labhyate, Sumukham Samatavam Udatchate
दुर्मुखं दुःखं लभ्यते, सुमुखं समत्वं उदाचते
Imbalanced mouth creates suffering, Balanced mouth creates Equanimity
Frequently Asked Questions.
From fear quenching serious questions to silly ones, we got you covered
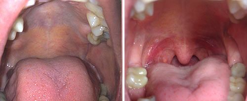
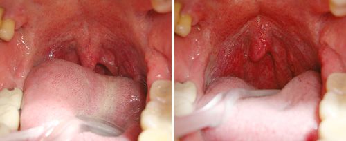
Drop in Snoring Scores to almost zero in 1 month.
Courtesy of: Jaana Sippus Hannele, DDS, M.Sc.
Shrinking of Tongue Fat and Tightening of Palate
Courtesy of: Jaana Sippus Hannele, DDS, M.Sc.
Sleep Well and Let Others Sleep Too!
What do I prepare for before the Procedure?
Hydration, Hydration, Hydration. Drink Plain Warm to Hot water, before, during and after the procedure. More hydrated you are, quicker you will see the benefits.
Do I Have to take time off or cancel my vacation?
No, it is a walk-in, walk-out procedure so you can return to your normal routine straight away. Eat, Drink, Play right away, no Restrictions.
What Should I Expect to see as positive result?
Between 1st and 3rd session, depending on severity of your snoring/apnea, you will see a noticeable difference/drop in your snoring scores, less noise complaint from bed partner, Tissue excess shrinkage of tongue and back of throat .
How will I know if Nightlase will work for me?
If you are not sure what causes your snoring, we have non-invasive technology to assess nasal congestion and airflow blockage that we will use in the first consultation. Only once you are satisfied with all your questions, will we schedule your first treatment appointment.
Does this Guarantee ALL patients Snoring Elimination?
No, There are some who can’t be helped by NightLase as snoring is caused for a number of different reasons, including mouth anatomy, nasal problems and sleep apnea.
If you are not a candidate for Nightlase, then we will let you know before scheduling your appointments.
Do I still have to wear my CPAP or Oral Appliance after Nightlase?
Some people are able to stop wearing their oral appliance or CPAP but it will depend on the results of a follow-up sleep study. Most people will sleep much better after treatment but this does not mean that their obstructive sleep apnoea is under control. Severe sleep apneics will often need hybrid therapy to manage their condition
How Soon Can I Expect To See Results
As Quick as 50% snoring reduction after first Session
Worries & Queries
Is it Safe?
Yes, NightLase has been used globally since 2010 and its proven results are backed by scientific and clinical research.
Does it Hurt ?
No discomfort or pain is felt during or after the procedure. Some experience a mild dry throat for a few days after.
Do I get Needle Shots ?
No anesthetic, No Needles, No Shots, No Pain. Walk in and Walk out back to your work or picnic. Easy Peezy.
Do I have to wear Bulky Appliances?
No. You don’t need to wear any uncomfortable or bulky appliances.
What are my Options? vs NightLase®
Snoring Surgery
NightLase®
CPAP/ Mouth Appliances
In order to achieve optimal results It is important to prepare the body for Nightlase therapy.
Once therapy has begun, we will make sure everything is perfect,
but patients need to play a role in making the body ready before, during and after the sessions.
What is Expected Before Nightlase Session
Before we schedule your 1st session, during your consultation visit, we would have taken multiple pictures and records. At that time we will give you several instructions, please follow them.
1. Record Snore Lab Scores for 7 days Prior.
2. Drink 2-3 liters of plain warm to hot water a day before and on day of therapy.
3. It is important to have your tissue fully hydrated to gain optimum results.
4. Bring large bottle of water to drink from - preferrably thermas like warm water bottle.
What to Expect During NightLase Session
1. Expect warm sensation on tissues.
2. There are multiple layers of light rounds.
3. You will ease into those rounds very quickly.
4. Relax, Multiple breaks will be given.
5. Be prepared to drink lots of warm to hot water during the sessions.
It is important tissue is hydrated to experience no discomfort.
6. Remember this will be trnasforming for you on multiple levels.
7. Get excited as many patients before you have already experienced this painless journey soaring towards Snoring free living.
What to Expect After NightLase Session
1. Expect Dry mouth.
2. Drink 2-3 liters of warm water for next few days.
3. Continue Drinking water until you no longer feel drymess in the mouth.
4. Expect tissue tightening feeling on tongue, in throat, under the jaw and nose.
5. Gently massage under the ear lobe to make sure lymphatic drainage remains active.
6. For the next 21 days until your next session, your tissues will go through amazing new collagen formation
7. You will begin experiencing antiaging of your air pathway tissues.
Trust the process.
There is a high scuccess rate across the globe and you are the fast rising number of patients receiving this therapy.
Get ready and Welcome the Transformation
* NightLase patients report waking up in a better mood & feel more energetic. A disturbed sleep – whether from your partner kicking you or from sleep apnoea – is non-restorative on your body.
* Nightlase has been shown to improve mild to moderate obstructive sleep apnoea. NightLase can also work as a supplement to other sleep apnoea treatments.
* Nightlase Tightens & Rejuvenates Snore Area Tssue by Creating New, Younger & Tighter Collagen
Call 301-738-1074 to Explore your Sleep Solution Options
Experience for yourself what it is like to sleep well.
Wake up with a bounce in your step.
Make your bed partner super happy....that finally they can sleep well too.
What Are other solutions we offer that can help you with your snoring & Sleep Issues?
FSA or HSA Eligible

Benefits of Ozone - Oxygen Sauna For Sleep Issues
Improves Breathing
Oxygen helps improove Breathing! Period!
If you want to break through mucus blocks quickly, breathing into direct oxygen speeds healing.
Additionally, it helps throw out more uncessary carbon dioxide thus preventing body from getting acidic.
Liquifies Mucus blocks
Humid heat opens the breathing channel via hyperthermic oxygen. Ozone kills pathogens causing immunity overload.
Reduces Carbonic Acid
Low oxygen causes Carbonic acid build up making body acidic and putting all organs into lowered function. A combination of Hyperthermic oxygen, ozone and direct filtered oxygen causes body to neutralize carbonic acid thus returning body back to Neutral pH.
Sinus cleanse
Mucus accumulating in various sinuses, increases pressure in head and neck area, reduces oxygen intake into lungs and reduces oxygen uptake by all vital organs like brain and heart. Direct oxygen infusion along with Hyperthermic sauna makes mucus to melt as well as improves oxygen supply to all vital organs and boosts immunity.
Meet Dr. Kalpna Ranadive
DMD, NMD, MDS, FAGE, IBDM,ND
"Sync with Nature but Cherry Pick the Best Technology to Suit Your Needs" - Dr. Kalpna Ranadive
Dr Kalpna Ranadive is an American Board Certified Naturopathic practitioner and an Integrative Biologic Dentist. Voted as Americas Top Dentist for over 11 years, She has masters in periodontics, is minimalistic and unconventionally pleasant holistic in her treatment approach. As vedic scholar with wide breath of ancient knowlege, she has an unique ability to blend natural ayurvedic protocols and vedic sciences into easy DIY self healing solutions. From Nutrition, Asanas, Marmas, Nadi Vidya, spirituality to mentoemotional health, her skills to calm even the most restless individuals makes her a sought after integrative practitioner. The central theme of her practice revolves around education driven self healing using ayurveda & ancient health science wisdom while blending it with cutting edge technology.
With over 30 years of dental and 45 years of ayurvedic and vedic science experience, her unique solutions are not just mouth focused but are whole individual self oreinted. Dr. Kalpna strongly believes nothing is isolated and each cell communicates with each other to heal self automatically. She also beleives that mouth which is a gateway to our inner world is an excellent source for diagnosis, dental & overall health management, mind & emotion expression as well as a center of easy beautiful communication be it with words or smile. Her mastery and finesse in using Lasers, CAD-CAM, digitally computerized and 3D robotic technology, Oxygen,ozone and more, has allowed her patients to enjoy one visit hi-tech holistic dentistry.
For those of you who do not know, Ayurveda is a traditional Vedic health science and medicine used in India and Tibet for over 10,000 years but has a large inter-influence with Chinese medicine as well.
Contact Us
Have questions? or Would like to get in touch with us?
10810 Darnestown Road, #H2, Gaithersburg, MD 20878
301-738-1074
Email: vedicdentalinfo at gmail.com
© Vedic Dental Inc. 2023. All rights reserved.
Get in touch
Call: 301-738-1074
Subscribe to Newsletter
Copyright © 2023, Vedic Dental Inc